
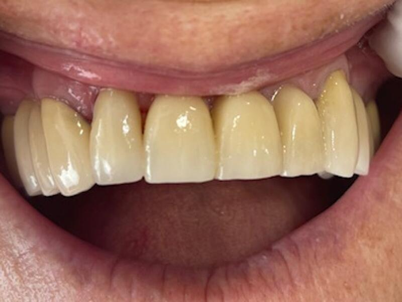
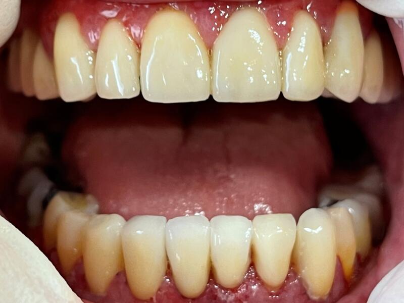
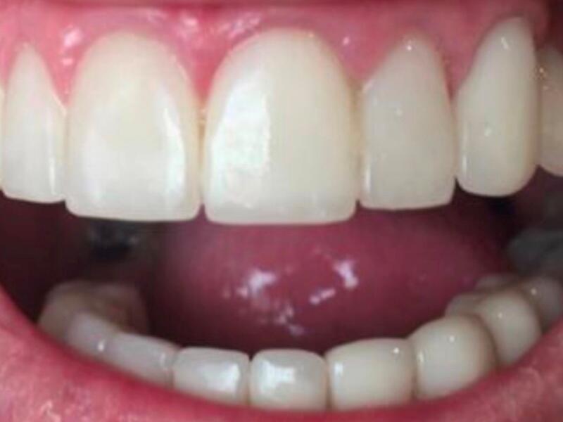
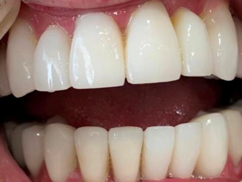
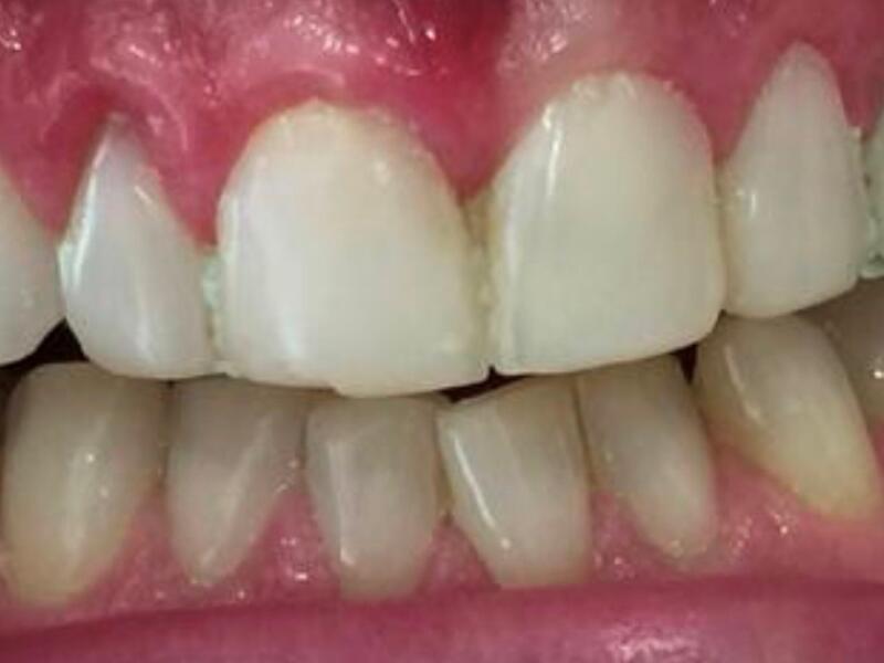
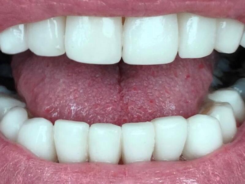
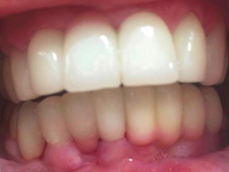
What is a dental veneer?
The use of dental veneers makes it possible to correct the color of the teeth when dental whitening is insufficient. They make it possible to modify the shape of worn or crooked teeth. With dental veneers, we can also improve overlaps as well as interdental spaces.
A dental veneer is made up of a thin ceramic film that sticks directly to the tooth.
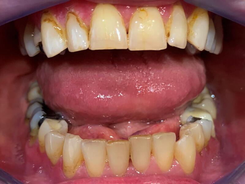
Who are dental veneers for?
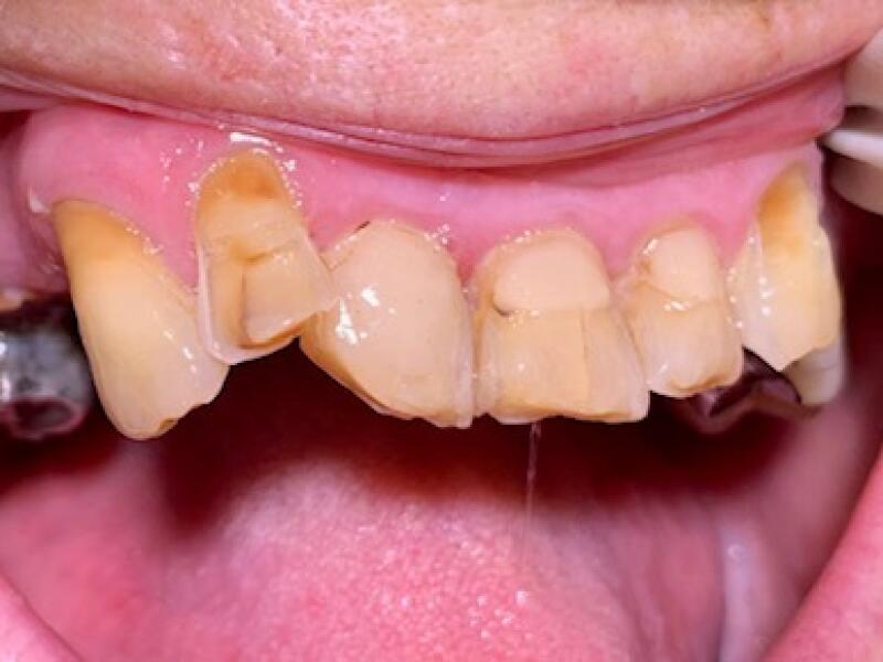
Without a doubt, it is aimed at patients who wish to improve the colour, length or shape of their teeth.
How long does it take?
The placement of a dental veneer is relatively quick, it generally requires three appointments spread over 2-3 weeks.
- The first appointment involves preparing the teeth, taking impressions and deciding on a colour.
- The second appointment is to try the veneers in the mouth to make sure that the patient is happy with the shape, colour and general appearance.
- The third and final appointment is to fit the veneers.
How to maintain a Veneer?
Dental veneers require no particular maintenance apart from impeccable oral hygiene (use of the toothbrush, dental floss as well as regular scale and polish appointments.
Are you interested in having one or more dental veneers?
If you are interested in one or more dental veneers, contact the secretary of Doctor Carolyn Carbasse now by using our contact page.
