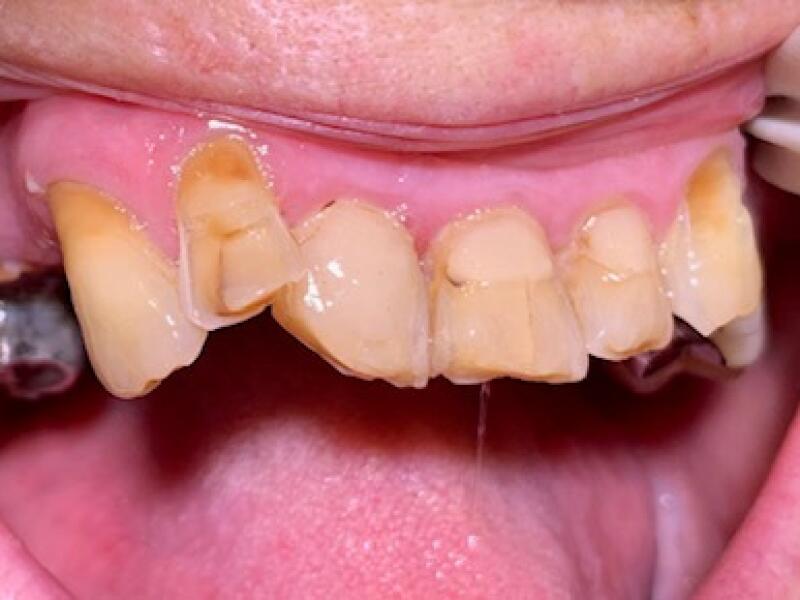
The absence of one or more teeth is a major handicap. This poses a big problem functionally, phonetically and aesthetically. To remedy this, it is possible to use a dental bridge or a crown when it's to repair a broken tooth.
What is a dental bridge?
It is an artificial bridge which makes it possible to fill in missing teeth. A dental bridge is a false tooth that is held in place by two crowns on the teeth to either side of the gap.
The bridge is a dental prosthesis which makes it possible to restore the appearance and function of a real tooth.
What are the different types of dental bridge?
There are 3 types of dental bridge. Doctor Carbasse will advise you on the most suitable bridge for your case.
The adhesive bridge or Maryland
The cantilever bridge
The complete bridge
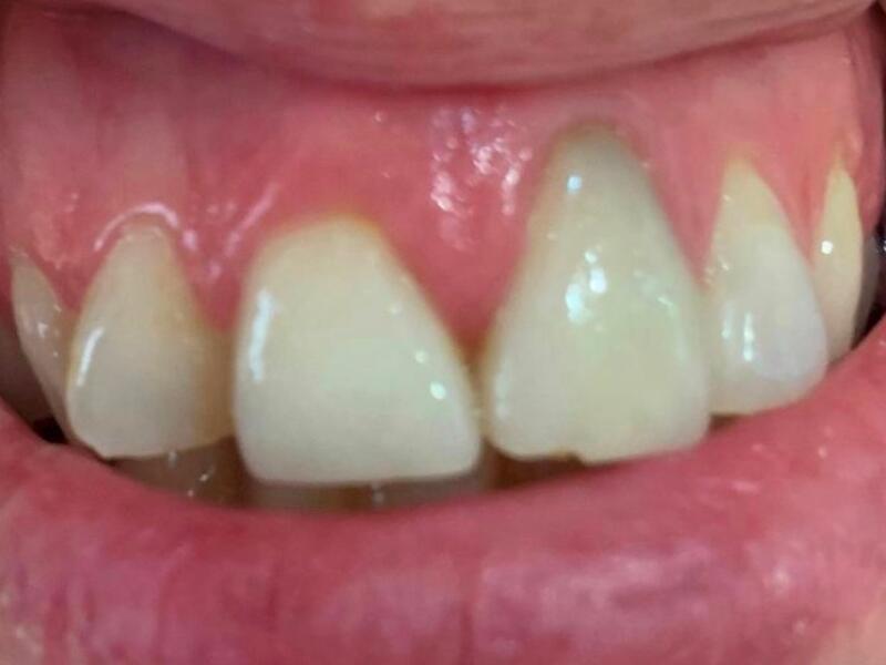
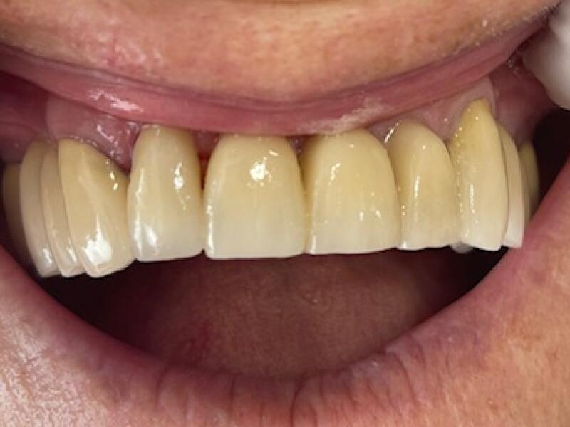
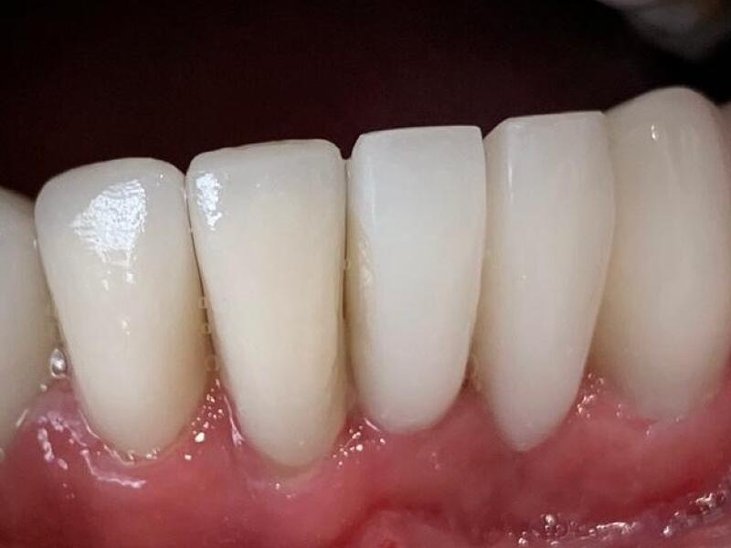
The dental crown
A crown is a sort of cap that Dr. Carbasse places on to repair the tooth. The crown covers the tooth, protects it and gives it a natural look. It also helps restore the color, shape and position of the tooth.
When to have a dental crown?
If you have a root treated or broken tooth, but also if you have to have an implant placed, it is a crown that will be screwed onto the implant.
The crown can also give a beautiful aesthetic appearance if you are not happy with your smile.
